
Bad Breath (Halitosis): Effective Treatment Options & Complete Guide
Introduction Bad breath, also called halitosis, is a common problem. Many people experience it at some point. In fact, studies show that about 1 in

Introduction Bad breath, also called halitosis, is a common problem. Many people experience it at some point. In fact, studies show that about 1 in

What is Full Mouth Rehabilitation? Full mouth rehabilitation is a dental treatment that rebuilds or replaces all the teeth in your mouth. It uses dental

Dental technology is always changing. Today, zirconium crowns are leading the way in dental restorations. These crowns use a strong, tooth-colored material called zirconium. Because

Are you ready to transform your smile for a better you? A bright, healthy smile can boost your confidence and improve your life. Today, many

Introduction to Dental Crowns Many people wonder what happens during a dental crown procedure. A dental crown is a cap that covers a damaged or

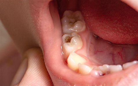
What is Root Canal Treatment? Root canal treatment is a dental procedure that saves a tooth with deep decay or infection. Dentists remove the damaged

Dental caries, commonly known as tooth decay or cavities, is a widespread issue that affects people of all ages. It’s not just about an occasional

Dental Caries is an infectious disease caused by microorganisms or bacteria which destroy the tooth structure leading to holes in the teeth. Dental caries, also

Dental tourism in India has gained popularity due to its affordability and quality. Patients from around the world are drawn to India’s advanced dental care

Dental tourism in India is on the rise, attracting people worldwide with its promise of top-notch dental care at a fraction of the cost compared

A beautiful smile is something that everyone desires. Straight and properly aligned teeth not only enhance your appearance but also contribute to overall dental health.

Invisible aligners are a type of orthodontic treatment used to teeth straightening. They are a series of clear, removable aligners custom-made to fit your teeth.

Dental veneers offer a remarkable way to enhance your smile, but questions often arise. In this guide, we provide expert insights to address the most

Zirconia crowns are becoming a popular choice in dental care thanks to their impressive strength, durability, and natural look. Made from a special material called

When it comes to fixing your teeth, picking the right crown material can make a big difference in how your smile looks and works. Zirconia

When dental issues escalate and become severe, root canal treatment often gets recommended. This dental procedure, while initially daunting to some, offers significant benefits. In

Wisdom tooth extraction, a common dental procedure many individuals undergo to alleviate pain, prevent complications, and maintain oral health. These third molars, also known as

Wisdom tooth extraction, a standard dental procedure many undergo during their late teens or early twenties. As these third molars often cause discomfort and various

Q1: What is TMJ? A1: Temporomandibular joint (TMJ) is the joint that connects your jawbone to your skull. TMJ can also refer to temporomandibular joint

Bad breath, also known as halitosis, can be caused by a variety of factors. While poor oral hygiene is a common cause, there are other

In the ever-evolving landscape of dental care, laser-assisted dentistry stands out as a game-changing advancement that has revolutionized the way we approach various dental procedures.

Laser dentistry has transformed the dental landscape, offering precise, comfortable, and efficient treatments. If you’re curious about this advanced approach, here are answers to frequently

Oral cancer surgery stands as a vital component of the treatment arsenal, offering precision and tangible results in the battle against this aggressive disease. Understanding

When faced with the diagnosis of oral cancer, exploring treatment options becomes a critical step towards ensuring the best possible outcome. Among the various treatments

Curious about transforming your smile? Here are answers to some common questions about smile correction, helping you navigate the exciting journey toward a confident and

In the pursuit of confidence and self-assurance, the realm of cosmetic dentistry offers a transformative solution known as smile correction. This comprehensive approach, often referred

Facial injuries resulting from accidents, sports impacts, and various incidents can lead to maxillofacial trauma, requiring specialized care and surgical intervention. Maxillofacial surgery plays a

When it comes to achieving a stunning smile, many people think about straight, white teeth. While that’s undoubtedly important, the health and appearance of your

Starting your orthodontic journey can be a daunting thought. With so many options and various types of braces available, you may feel overwhelmed. However, one

Teeth bleaching, commonly known as teeth whitening, is one of the most popular cosmetic dental treatments available today. It’s a quick and effective way to

Dental bridges are a type of dental restoration used to replace one or more missing teeth. They are typically made up of one or more

A dental crown is a tooth-shaped cap that is placed over a damaged or decayed tooth to restore its shape, size, and strength. It is

A dental procedure to repair and save a tooth that is infected or badly decayed. During a root canal procedure, the dentist removes the infected

Why are Dentures Used? Dentures are used to replace missing teeth and restore your smile and ability to eat and speak properly. They provide support